blog

December 12, 2016
dental checkup

3 Years Old is Perfect for a Dental Check up

Did you know that 3 years old is the perfect age to introduce a child to the dentist. It helps familiarise them with the practice & also means any minor problems with the growth and development of the jaws and teeth can be detected and treated early. Here are 4 ways you can make your child’s first dental visit enjoyable: […]
September 21, 2016
child dental benefits schedule

Child Dental Benefits Schedule May Close

The govt is trying to close the CDBS before the end of the year. Get in quick to avoid missing out, ph 02 4322 0700
September 4, 2016
teeth whitening

Teeth Whitening

Are you embarrassed to smile because of the colour of your teeth? A brighter, whiter can give your confidence a great boost. We offer Teeth whitening using safe, gentle products, In chair and take home options are available. Teeth whitening is safest and most economical when done by a general dentist rather than by a beauty therapist. We provide a […]
July 23, 2016
nose breathing

Negative Effects of Mouth Breathing

I took this photo to use for a talk on the negative effects of mouth breathing- It made me laugh so I wanted to share it. Seriously, in a child that can nose breathe, micropore tape (not gaffa!!) is a great way to maintain their lip seal overnight forcing them to breathe through their nose. Only use for a child […]
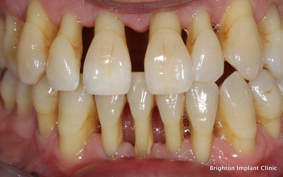
July 15, 2016

Gum Disease

These are pictures of gum disease. Many people have had some form gum disease for years and don’t even know it!! Gum disease is caused by a build of plaque and bacteria and also nutritional deficiencies and medical conditions The bacteria associated with gum disease has been linked to heart disease and other systemic illnesses. Come and see us today […]
June 25, 2016
Child Patient

50% off for New Patients

New patient special, check up, clean and Xrays for $99 or Health Fund rebate only (no gap) ph 02 4322 0700